
Cuboid syndrome is a condition where the cuboid bone, located on the outer side of the foot, becomes partially dislocated or misaligned. This often results in pain and difficulty bearing weight. It commonly occurs in athletes and individuals who engage in activities that involve repetitive stress on the foot, especially during lateral movements. Causes can include ankle sprains, overuse injuries, or an abrupt change in activity levels. The syndrome may also develop due to poor foot biomechanics or wearing unsupportive footwear. Diagnosing cuboid syndrome can be challenging because it does not always show up on imaging studies. Podiatrists typically rely on a thorough history and physical examination, focusing on tenderness over the cuboid and reproduction of symptoms with specific foot movements. If you have foot pain, it is suggested that you promptly contact a podiatrist who can accurately diagnose and treat your condition.
Cuboid syndrome, also known as cuboid subluxation, occurs when the joints and ligaments near the cuboid bone in the foot become torn. If you have cuboid syndrome, consult with Arnold Farbstein, DPM from Texas. Our doctor will assess your condition and provide you with quality foot and ankle treatment.
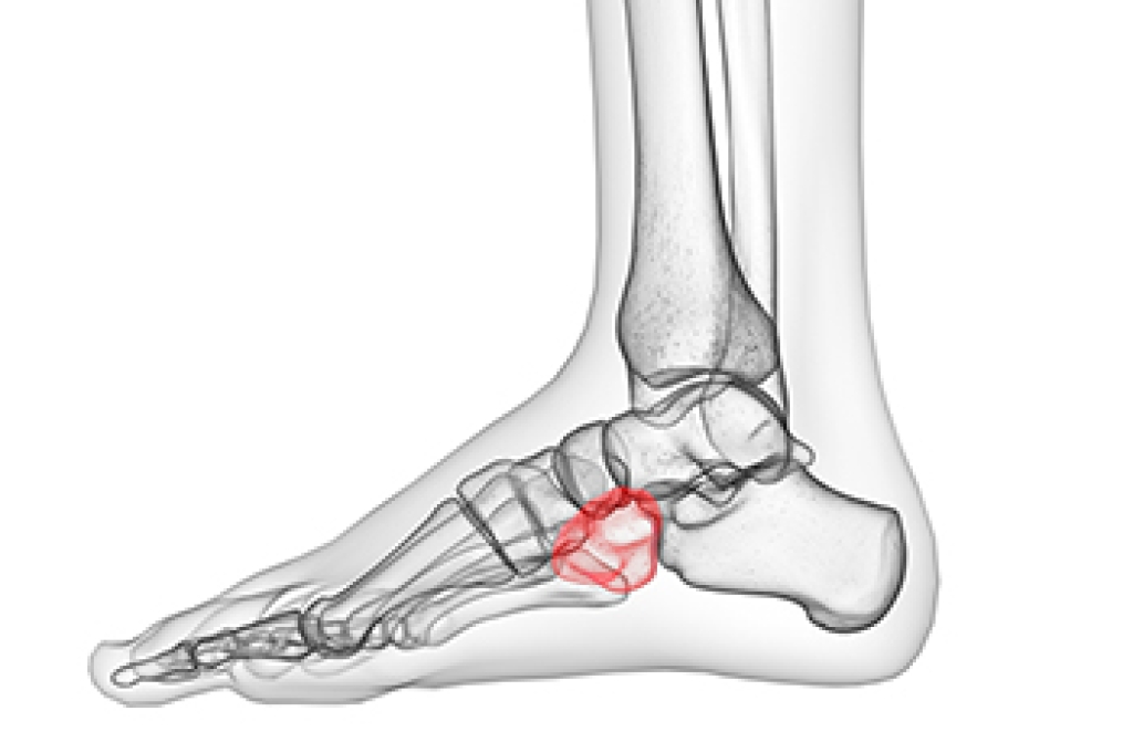
Cuboid syndrome is a common cause of lateral foot pain, which is pain on the outside of the foot. The condition may happen suddenly due to an ankle sprain, or it may develop slowly overtime from repetitive tension through the bone and surrounding structures.
Causes
The most common causes of cuboid syndrome include:
- Injury – The most common cause of this ailment is an ankle sprain.
- Repetitive Strain – Tension placed through the peroneus longus muscle from repetitive activities such as jumping and running may cause excessive traction on the bone causing it to sublux.
- Altered Foot Biomechanics – Most people suffering from cuboid subluxation have flat feet.
Symptoms
A common symptom of cuboid syndrome is pain along the outside of the foot which can be felt in the ankle and toes. This pain may create walking difficulties and may cause those with the condition to walk with a limp.
Diagnosis
Diagnosis of cuboid syndrome is often difficult, and it is often misdiagnosed. X-rays, MRIs and CT scans often fail to properly show the cuboid subluxation. Although there isn’t a specific test used to diagnose cuboid syndrome, your podiatrist will usually check if pain is felt while pressing firmly on the cuboid bone of your foot.
Treatment
Just as the range of causes varies widely, so do treatments. Some more common treatments are ice therapy, rest, exercise, taping, and orthotics.
If you have any questions, please feel free to contact our office located in Houston, TX . We offer the newest diagnostic and treatment technologies for all your foot care needs.



